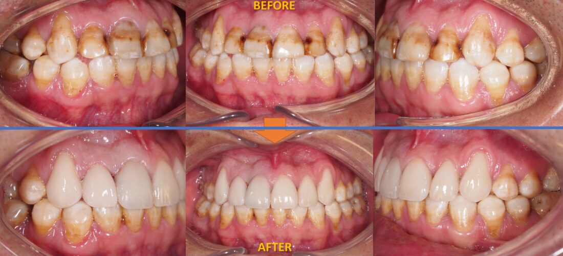
Prosthodontic veneers to improve a smile (part 2)
- Posted by Dr Alex Loh
- On September 18, 2021
- 0
2of2 This is the same case, but inside the mouth. The patient only wanted to have his front six teeth veneered to remove the discolouration from malformed enamel as well as change the length of them to make the smile nicer.
