Before and After Straightening Teeth Without Extractions
eDentistry Wantirna Case Study
Straightening Teeth Without Extractions
There is a common misconception that crowded teeth always need extractions. It is often possible to increase the amount of space by ‘expanding’ the arch that the teeth fit in.
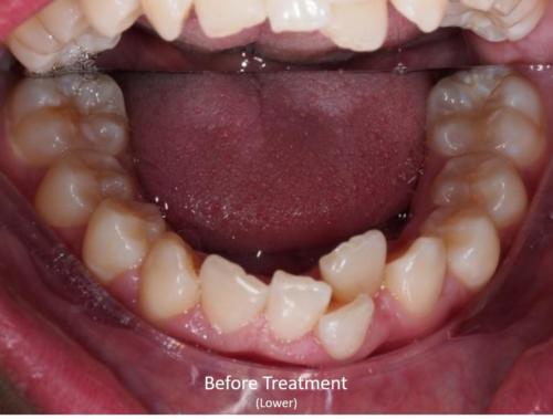
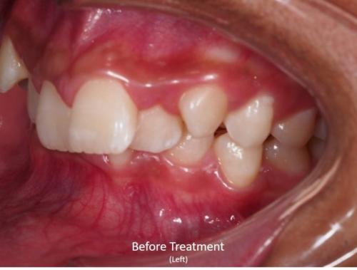
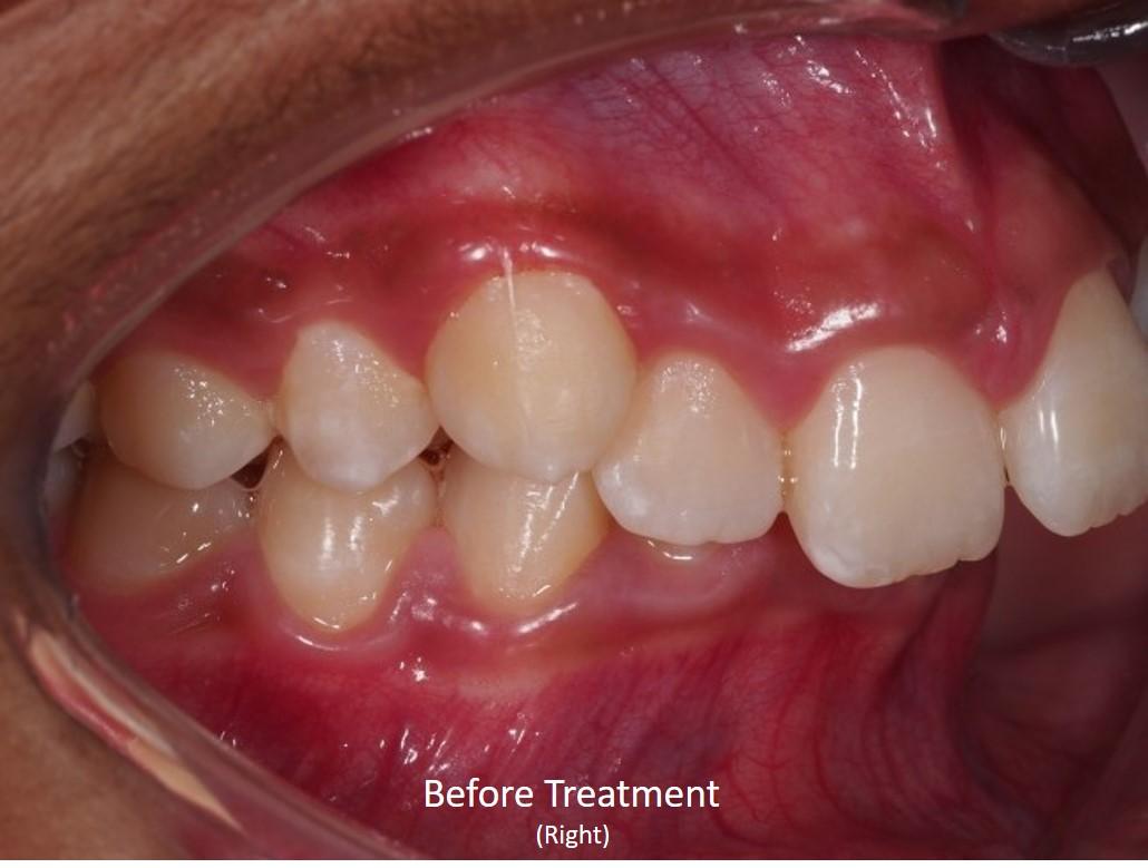
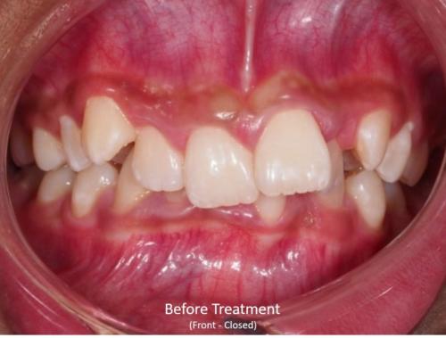
CV presented to us wanting straighter teeth. His parents were under the impression that extractions of teeth would be required to fit the teeth in, especially given there was so much crowding that one of the upper teeth was caught BEHIND the lower teeth!
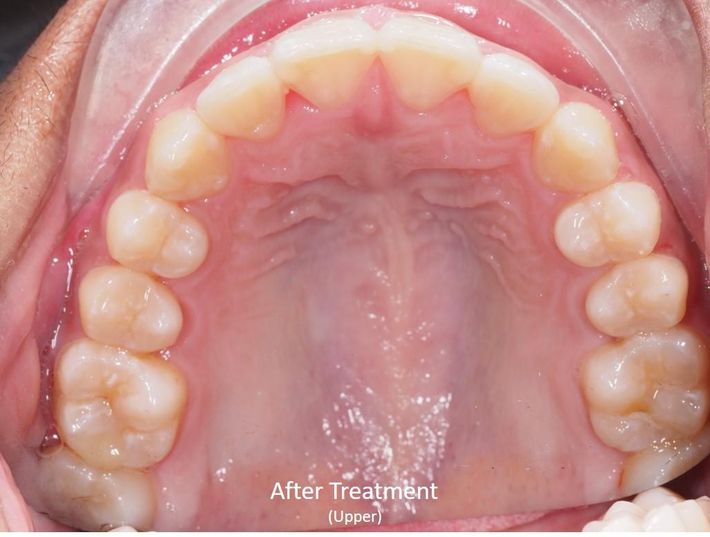
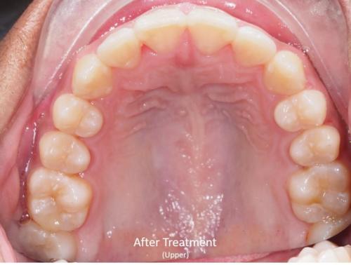
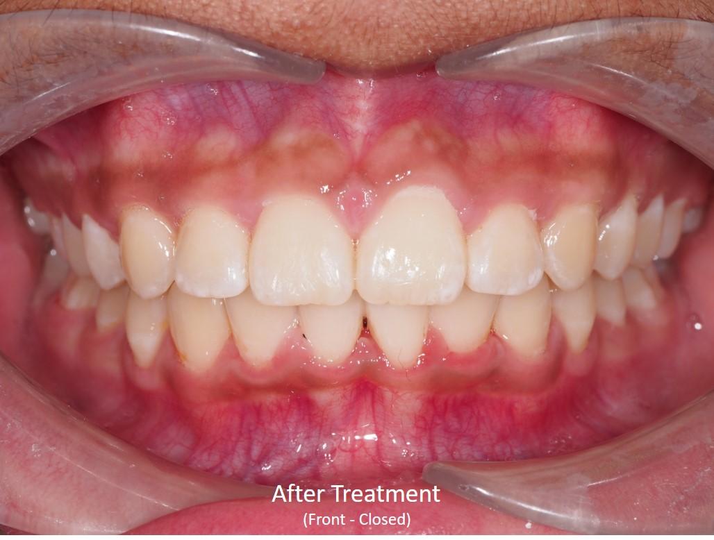
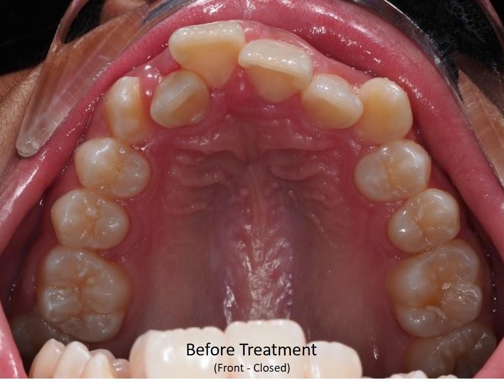
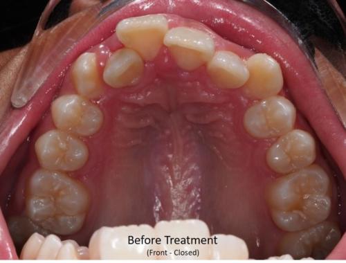
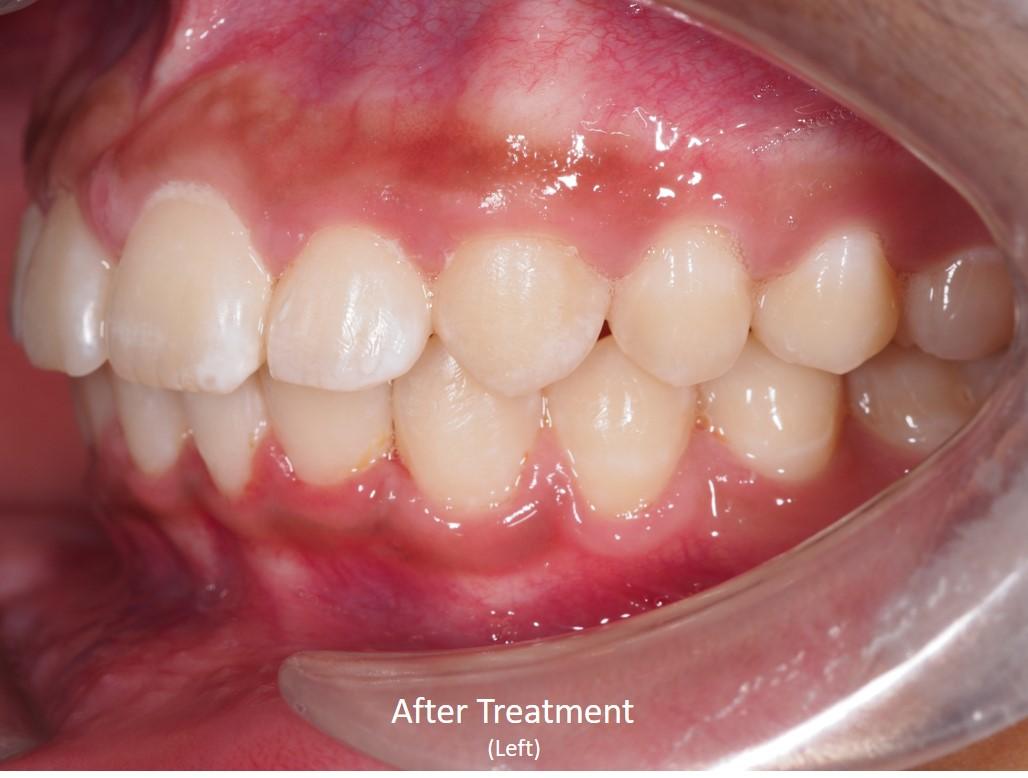
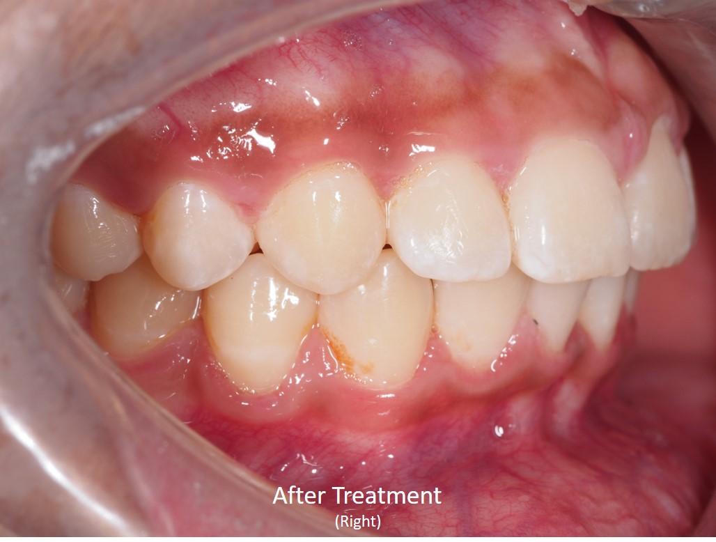
After assessment with ‘digital dentistry’, it was determined that enough room could be created by expanding the arch. If you count the teeth in the mouth, you’ll notice no teeth were taken out. The arch has been increased in size to allow the teeth to fit. Even the position of the upper front tooth was corrected so that it is now located in front of the lower teeth, as it should be.
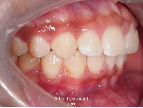
The assessment also showed that the lower teeth were also found to be too far back overall, creating a really big horizontal distance (the technical name of this is “overjet”) between the upper and lower front teeth when viewed from the side. This was also corrected, and a proper overjet was re-established.
Finally, the correct position of the upper teeth was created to follow the shape of the lower lip to create a beautiful smile. Look at the confidence that CV has now when he smiles.
Disclaimer: Results from Individual treatment will vary according to clinical conditions and each case.
