Before and After Retrieving and Saving Impacted Teeth with Braces
eDentistry Wantirna Case Study
Retrieving and Saving Impacted Teeth with Braces
Teeth can sometimes fail to erupt into the mouth, getting stuck within the jaw. It is actually possible to save and even retrieve this teeth and bring them back into their proper positions.
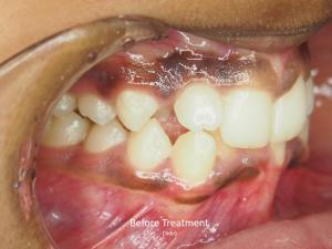
SR came in with not only with crowded teeth, but also a canine “eye” tooth being completely impcated. Impacted teeth are ones that are stuck inside the jaw and are not able to come out in their proper positions.
SR wanted to have her teeth made straighter, but also have her impacted tooth brought down out of the jaw and back into the mouth in the proper position.
Using ‘digital dentistry’ through 3D X-rays, the impacted tooth was able to be located and exposed so that it could be brought down.
Look at SR’s teeth after the canine was brought down into the normal position, and all teeth properly aligned.
Disclaimer: Results from Individual treatment will vary according to clinical conditions and each case.
