Before and After Treating Large Lumps In The Gums
eDentistry Wantirna Case Study
Treating Large Lumps in the Gums
Gum disease when left untreated can eventually result in the jaw bone dissolving away to make teeth become loose and potentially fall out; but it can also cause very severe swellings and lumps as well.
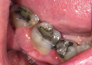
JT presented with a very sore and swollen lump in the gum, resulting from a long history of untreated gum disease. A full assessment was made using digital X-ray scans which provided a clear diagnosis of the cause of the problem. The option to reduce the swelling WITHOUT surgery was discussed with JT as a result of the digital X-ray scans, and JT then decided to have the gum disease treated.
Within one treatment session and appropriate home care and oral hygiene, JT returned for a review in 3 months. As can be seen from the above photo, the swelling had completely subsided without the need for surgery.
Disclaimer: Results from Individual treatment will vary according to clinical conditions and each case.
