Call nowBook Online

eDentistry Wantirna Case Study

Other Ways to Deal with Wisdom Teeth

There is a misconception that wisdom teeth always need to be removed. The reality is that, this is not always the case, even if the wisdom teeth are causing swelling and pain.

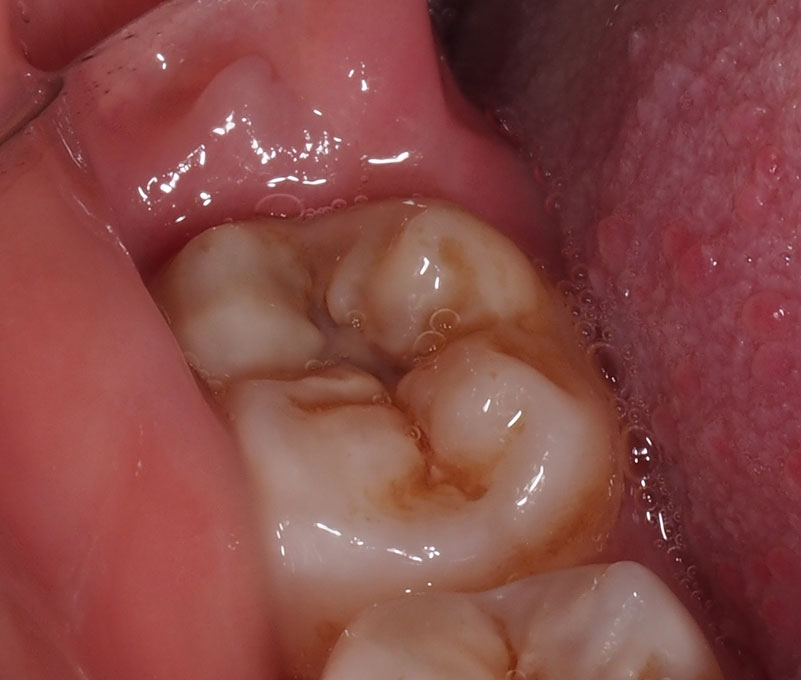
EE presented with recurrent pain and swelling on the lower right side, where the wisdom tooth had been partially erupted for the past 7 years. This was occurring because there was a flap of gum at the back of the tooth which kept getting plaque and bacteria growing underneath:

 

EE expected to need to have the wisdom teeth removed. After detailed assessment was made, it was found that the wisdom tooth was actually coming up properly aligned and didn’t need removal.

Instead, it was possible to simply recontour the bone and gum around the back of the tooth to allow the wisdom tooth to be exposed properly – a procedure that is much less traumatic that the removal of the tooth, which normally results in a swollen and bruised face for at least a week.

The above photo shows the healed site after the procedure. EE has not had another bout of pain and swelling since the procedure was done.

Disclaimer: Results from Individual treatment will vary according to clinical conditions and each case.

eDentistry – where care and innovation meet.

Understanding of the medical implications of dental health, and collaborating with general medical practitioners, ear/nose/throat specialists, sleep physicians, physiotherapists, etc. to achieve the most comprehensive care.