eDentistry Wantirna Case Study
A 'No Braces' Approach to a Beautiful Smile
It is possible to straighten teeth and create a beautiful smile WITHOUT braces. Using clear aligner therapy, it is possible to align the teeth without anyone even knowing.
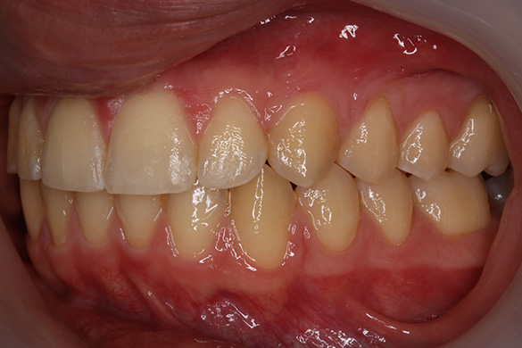
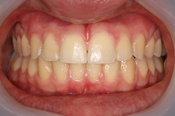
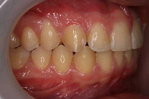
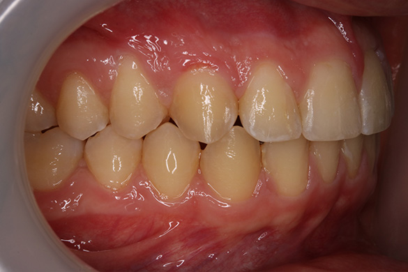
Before and After A ‘No Braces’ Approach to a Beautiful Smile
SB presented to us wanting straight teeth. The only caveat was – she didn’t want braces! SB didn’t even want the “clear braces”, as they would still be visible to her friends and family.
After detailed discussion and planning with ‘digital dentistry’, it was assessed that her teeth could be aligned using ‘clear aligner therapy’ – a series of almost invisible skins which are worn over the teeth.
This treatment took about the same time as standard braces, but none of SB’s friends even knew she was undergoing treatment.
Disclaimer: Results from Individual treatment will vary according to clinical conditions and each case.
