Before and After Fixing Cracks and Splits Within Teeth
eDentistry Wantirna Case Study
Fixing Cracks and Splits Within Teeth
Cracks and splits within teeth are initially completely painless, but as they become larger and extend closer to the nerve, they can become more and more painful.
SV began to feel only just a very small degree of sensitivity on one of the upper right teeth, but thought it would be best to get it checked out before something more serious occurred
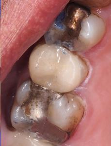
A visual assessment showed that it was clear that there was not only a crack in the old amalgam filling, but also a crack within the tooth. The appropriate tests were run which showed that luckily, the crack had not yet involved the nerve of the tooth.
Options were discussed with SV, and SV decided to have the tooth reinforced with ceramic to hold the tooth together and protect it from cracking any further:
SV has had no symptoms after the ceramic reinforcement was placed. SV is still returning for regular assessment, but has been fine for the last 6 years.
Disclaimer: Results from Individual treatment will vary according to clinical conditions and each case.
