eDentistry Wantirna Case Study
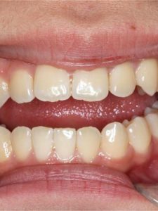
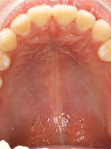
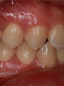
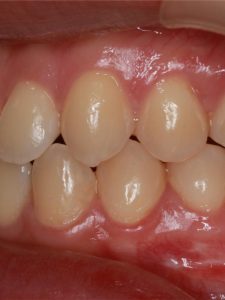
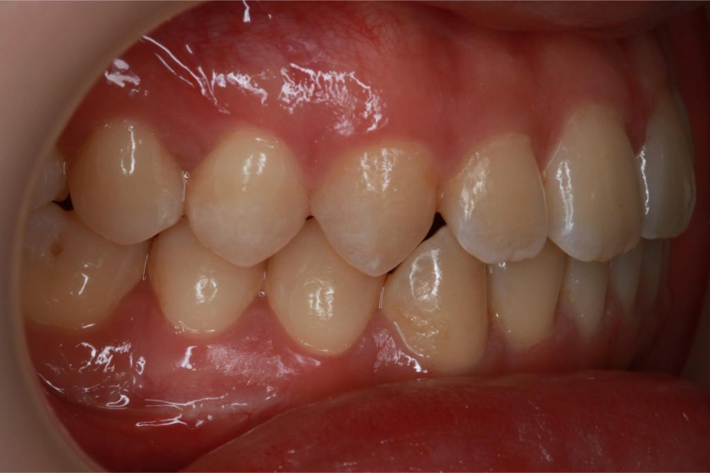
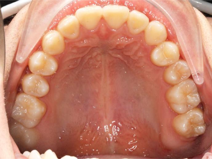
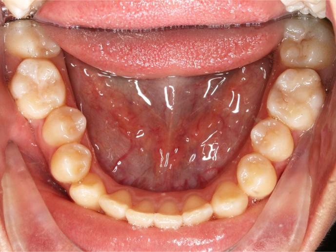
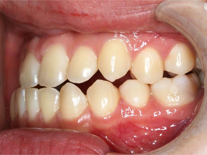
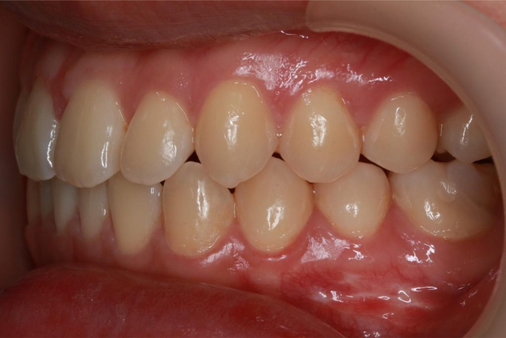
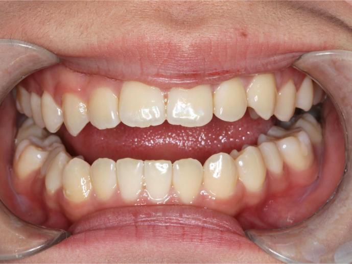
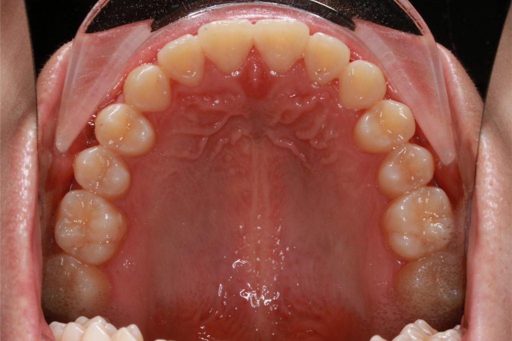
Jaw Repositioning (Orthognathic) Surgery
Before and After Images
eDentistry – where care and innovation meet.
Understanding of the medical implications of dental health, and collaborating with general medical practitioners, ear/nose/throat specialists, sleep physicians, physiotherapists, etc. to achieve the most comprehensive care.

















