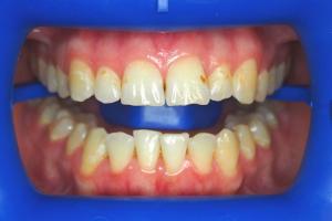
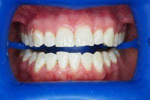
Before and After Getting Rid of Brown Discoloured Marks on Teeth with Whitening
eDentistry Wantirna Case Study
Getting Rid of Brown Discoloured Marks
on Teeth with Whitening
Some people are born with brown marks and discolourations on teeth, which can strongly affect one’s self confidence especially when talking to people.
NW was very conscious of these marks on her teeth and desperately wanted to remove them.
NW worked in public relations, and the smile appearance was of critical importance. After a detailed discussion, NW decided to have the teeth whitened to remove the marks.
The whitening procedure only took 90 minutes, and look at the results:
The above photos show not only the removal of the brown marks, but also a change in the colour of the teeth.
Disclaimer: Results from Individual treatment will vary according to clinical conditions and each case.
eDentistry – where care and innovation meet.
Understanding of the medical implications of dental health, and collaborating with general medical practitioners, ear/nose/throat specialists, sleep physicians, physiotherapists, etc. to achieve the most comprehensive care.
