Orthodontics continued…
- Posted by Nicci Layman
- On February 27, 2021
- 0
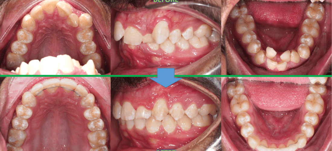
The same orthodontics case but from inside the mouth. There was a lot of crowding particularly on the bottom, but this did not require removal of any teeth.
The same orthodontics case but from inside the mouth. There was a lot of crowding particularly on the bottom, but this did not require removal of any teeth.