Good day everybody – Can you smell the Christmas Spirit in the air? We can!!! So here we go – The supersweet and multitalented Alex once again kicks off The 12 Days of Christmas in true Sugar Plum Fairy style. https://youtu.be/i6v_yq7pQ_k
It’s time to say Goodbye and Good Luck to Dr. Michael Hall. He’s been such great dentist to all his patients; old and new and just an all round fantastic individual. It’s been a pleasure working with him and we’re super excited for him in this next chapter of his career. We wish him nothing
Welcome to the Catch the Buzz Competition. Upload your smile to INSTAGRAM and tag us @edentistry-old-site-backup.2080solutions.com.au and you will go into the draw to win an electric toothbrush. We will draw the winner at the start of each month. Here is our November Winner for 2021 – Congratulations Hudson!!!
Trick or Treat? – Hope everyone is keeping safe and well. Happy Halloween out of lockdown – From all the friendly staff at eDentistry Wantirna. *P.S – Don’t forget to floss and brush after your tricks and treats!
Catch the Buzz – Post your bee-utiful smile pictures on Instagram and bee in a draw to win an electric toothbrush. We’ll bee running the contest monthly and drawing the winning photo in the first week of the month. First winner drawn in November. Start posting and don’t forget to tag us in the post
We’re noticing small problems turning into larger ones here at eDentistry – We wanted to reach out and clear up a few concerns about coming to see us during the lockdown restriction period. Rest assured that if you have any concerns we strongly urge you to call us to discuss and/or make a booking. (03)
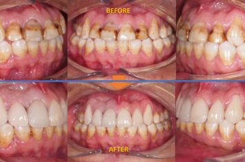
2of2 This is the same case, but inside the mouth. The patient only wanted to have his front six teeth veneered to remove the discolouration from malformed enamel as well as change the length of them to make the smile nicer.
(1 of 2) This case was started before lockdown and needed to be finished today at eDentistry to avoid further damage. An example of what prosthodontics is able to achieve when combined with digital dentistry.